TMS (transcranial magnetic stimulation) is designed to help people who suffer most from depression to start feeling better again.
of Patients
See Improvement
Million
Treatments Administered
of Patients
Reach Remission
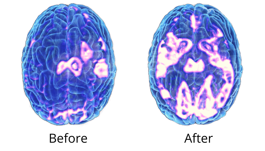
Transcranial Magnetic Stimulation uses strong, magnetic pulses distributed through a coil to regulate the neural activity of brain structures associated with depression.


While you may feel slight pressure on top of your head, most patients adapt to the sensation after just a couple of sessions.

Rest assured, you do not have to start a new medication regimen throughout TMS.

An analysis of 1,753 patients showed that the average patient achieved a sustained response after just 16 treatments.

"Dr. Van Leeuwen made me feel at ease and so calm. He discussed the tms therapy with me and went through all the ins and outs and answered all my questions. Talking with him made me know I was with the right doctor for my situation. He even made my son who came with me for moral support feel welcome."
- Erica
"I had the great opportunity to be seen by Dr. Ben Van Leeuwen for a hearing test and screening. He was very professional and through with my exam. He even took the time to look in my troubled ear and after the evaluation he explain my results before sending to my ENT's appointment. He went above and beyond what the other Audiologists, I had previously seen only weeks before. I thank, him for his very deep and through reviewed of my hearing situation."
- Paula
"Dr. Van Leeuwen has had a remarkable impact on my health and well being. I talked, he listened. He prescribed life changing protocols for me that have helped me immensely. I recommend him without reservation. His Spravato clinic is so well run and helpful."
- Dave

Schedule
Call the office, fill out a form, or book directly to request a consultation.

Meet
30 Minutes
We'll talk through your medical history and symptoms. You'll receive a personalized treatment plan, with insurance approval before starting.

Map
45 Minutes
During your first session, we determine device position to ensure the most effective treatment for you. This process is known as "mapping".

Treat
20 Minutes
Relax during treatment. After each session, you'll be able to resume your daily routine immediately.

About 83% of patients who complete a full course of TMS show a clinically meaningful response and about 62% experience a remission, meaning their symptoms go away completely.

Sessions are about 20 minutes and you can drive to and from your appointments. The full course covered by insurance usually takes about 6-8 weeks to complete.

All major payers cover TMS treatment for Depression. If you've tried multiple antidepressants and therapy, there's a good chance your insurance covers it.
Located in Layton
